Хирургическая имплантация зубов: верните себе идеальную улыбку
Хирургическая имплантация зубов — это самый современный и надежный метод восстановления утраченных зубов, позволяющий не только восстановить функциональность зубного ряда, но и сохранить здоровье костной ткани. Потеря зуба — это не только эстетическая проблема, но и серьезный риск для всего организма. Она может привести к атрофии челюстной кости, изменению прикуса и нагрузке на соседние зубы, что в конечном итоге влияет на пищеварение и общее самочувствие.
Наши опытные хирурги-стоматологи в медицинском центре «Агапит» специализируются на проведении имплантации зубов любой сложности. Мы используем инновационные технологии и сертифицированные материалы, чтобы обеспечить нашим пациентам безболезненное, быстрое и успешное лечение.

Что такое имплантация зубов и кому она нужна?
Имплантация — это хирургическая процедура, во время которой в челюстную кость устанавливается титановый имплантат, выполняющий роль корня зуба. После его приживления на имплантат фиксируется коронка, которая полностью имитирует природный зуб.
Имплантация зубов показана в следующих случаях:
- Потеря одного зуба. Это идеальное решение, позволяющее восстановить утраченный зуб, не обтачивая соседние здоровые.
- Отсутствие нескольких зубов подряд. Можно установить несколько имплантатов, чтобы затем зафиксировать на них мост.
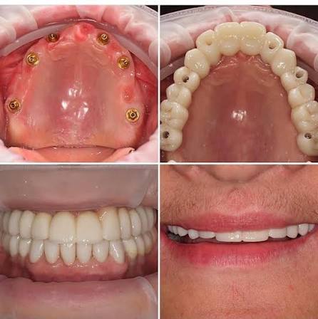
- Полное отсутствие зубов на одной или обеих челюстях. Имплантаты служат опорой для полного съемного или несъемного протеза, что обеспечивает надежную фиксацию и комфорт.
- Атрофия челюстной кости. Имплантация помогает остановить потерю костной ткани, которая является распространенным последствием отсутствия зубов.
Этапы хирургической имплантации зубов
Процедура имплантации — это спланированный процесс, включающий несколько последовательных этапов.
- Диагностика и планирование. Хирург проводит полный осмотр полости рта, делает компьютерную томографию (КТ), чтобы оценить состояние костной ткани, и на основе полученных данных составляет индивидуальный план лечения.
- Хирургический этап (установка имплантата). Процедура проводится под местной анестезией. Хирург делает небольшой разрез на десне, формирует ложе в челюстной кости, куда и устанавливается титановый имплантат. После этого десна зашивается.
- Этап приживления (остеоинтеграция). Имплантат соединяется с костной тканью, становясь ее неотъемлемой частью. Этот процесс занимает от 3 до 6 месяцев, в зависимости от индивидуальных особенностей организма.
- Протезирование. После приживления имплантата устанавливается абатмент (переходник), на который фиксируется индивидуально изготовленная коронка. Коронка полностью имитирует форму и цвет природного зуба.
Преимущества хирургической имплантации в нашей клинике
- Безопасность и безболезненность. Все процедуры проводятся опытными хирургами-имплантологами с использованием современных анестетиков, что делает процесс полностью комфортным для пациента.
- Надежность и долговечность. Имплантаты служат десятилетиями, а при правильном уходе — и всю жизнь. Они не требуют замены, в отличие от мостовидных протезов, которые имеют ограниченный срок службы.
- Сохранение соседних зубов. Имплантация не требует обтачивания соседних здоровых зубов, что является обязательным для установки мостов.
- Восстановление естественного вида. Коронки, которые фиксируются на имплантатах, выглядят как настоящие зубы, и их практически невозможно отличить от родных.
- Сохранение костной ткани. Имплантат равномерно распределяет жевательную нагрузку на челюстную кость, что предотвращает ее атрофию (рассасывание).
Вопросы, которые стоит задать хирургу-имплантологу
- Есть ли у меня противопоказания к имплантации?
- Какой тип имплантата вы рекомендуете в моем случае?
- Какова стоимость всех этапов лечения, включая диагностику и протезирование?
- Сколько времени длится полное лечение?
- Как будет проходить реабилитация и какие ограничения мне нужно будет соблюдать?
Наши специалисты готовы предоставить вам полную консультацию, провести необходимую диагностику и разработать индивидуальный план лечения.
Не откладывайте заботу о своем здоровье на потом.
Запишитесь на прием к хирургу-имплантологу в медицинском центре «Агапит» уже сегодня!
